Seu carrinho
Pesquisar

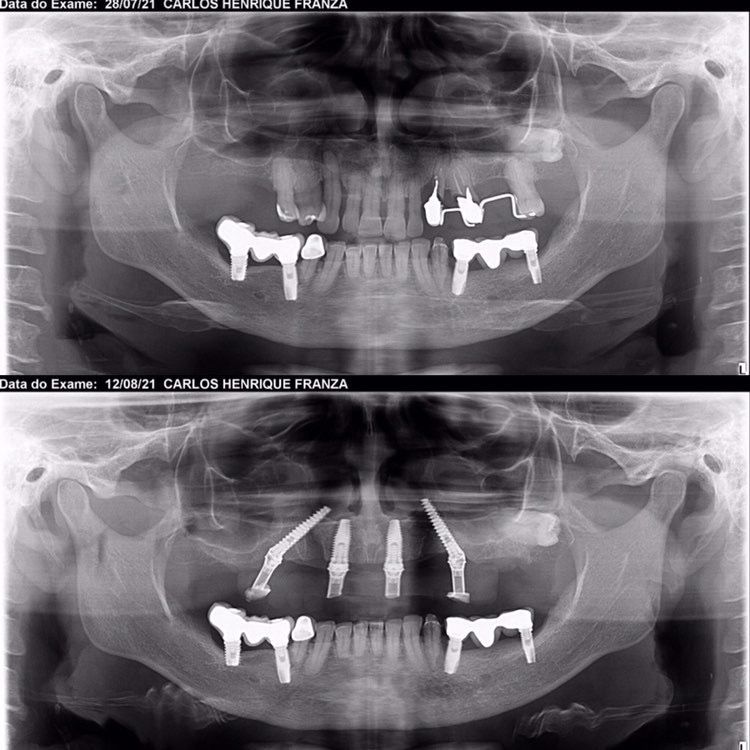
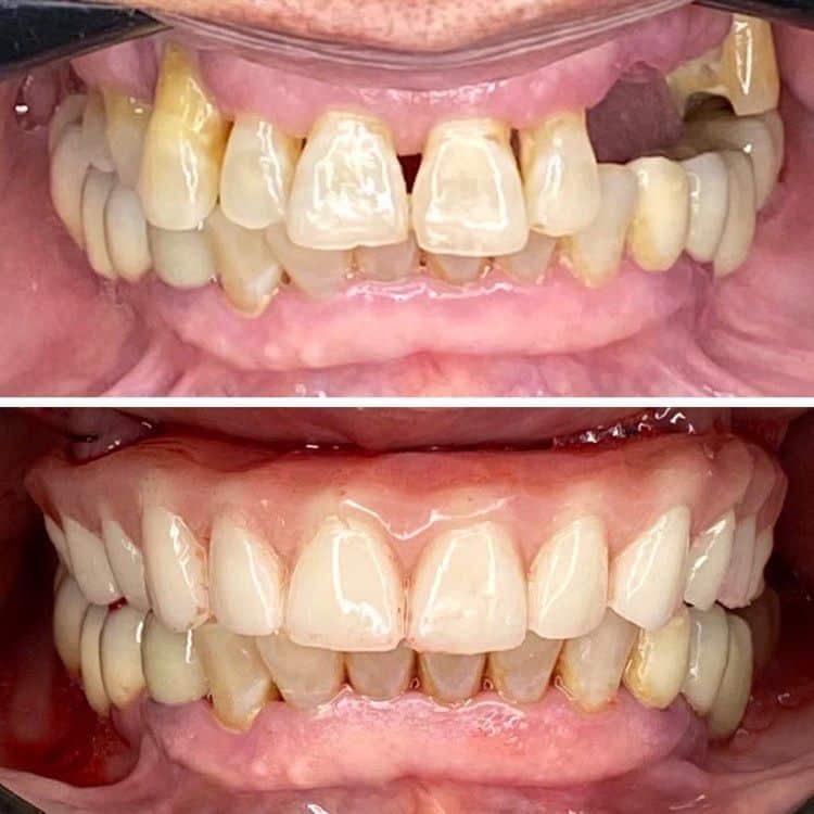
Case 005 Case: Técnica de ancoragem esquelética “All on Four STD” pelo Dr. Carlos Franza

Formado há 20 anos, o experiente Dr. Carlos Franza tem como foco de trabalho casos complexos de reabilitação total.

Atua no estado de São Paulo desde 2002 na área da implantodontia e Bucomaxilo, buscando sempre parcerias e interações de grandes profissionais da área no desenvolvimento e operacionalidade de novas técnicas buscando acima de tudo, satisfação dos pacientes.

Conheça mais do profissional @drcarlosfranza

 

 

#drcarlosfranza #bucomaxilo #implantodontia #singular  #singularimplants 

#cirurgiaguiada #ASingularEstaON #singularimplants

 #singular #implants #dentalimplants #dentistas #implantesdentarios

categorias

Tags

Abrir bate-papo
Olá 👋
Podemos ajudá-lo?