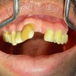
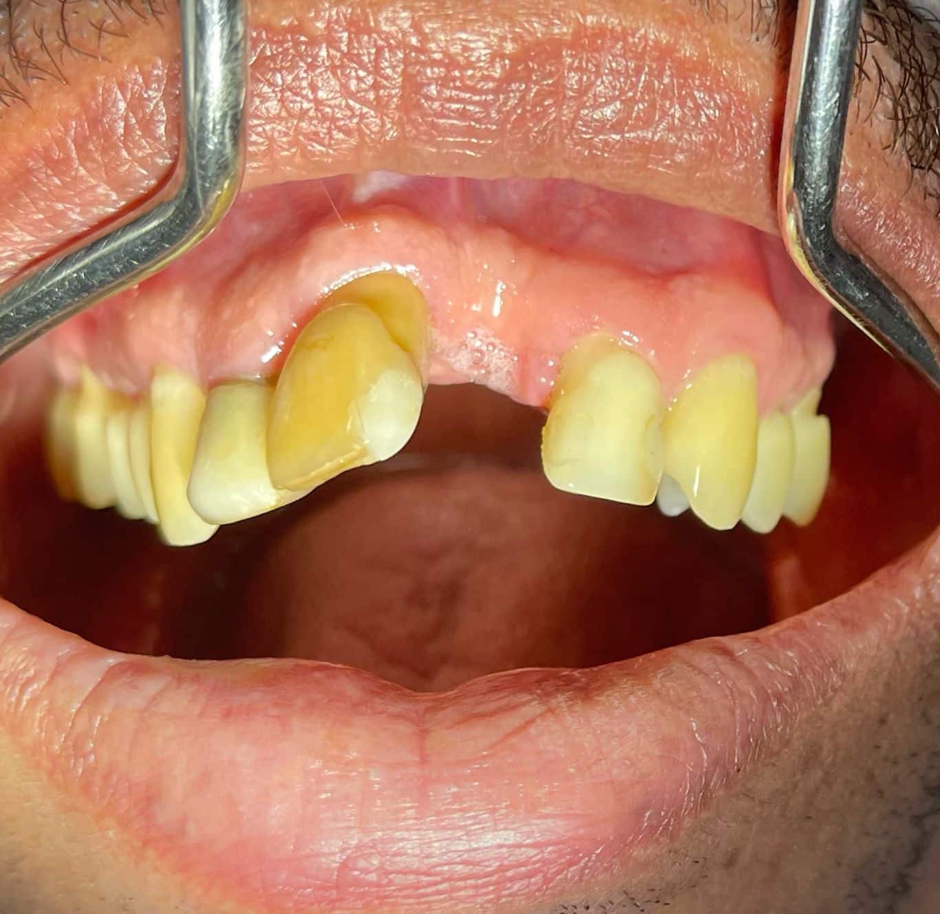
Caso de Exodontia total superior, regularização óssea.
Instalação de 6 implantes para futura prótese fixa tipo protocolo de Branemark
Implantes Cone Morse Cônico Singular
4 com de 4×11 e 2 cm de 4×15 nas distais
—————————————–
Dr Flávio Souza de Andrade
Especialista em Implantodontia
Especialista em Cirurgia e Traumatologia Bucomaxilofacial
Mestrando em Implantodontia
Professor de cursos de cirurgia oral e facial e implantes dentários.
Eleito destaque na implantodontia no ano de 2021, Dr Flávio chama atenção na qualidade técnica de seus procedimentos cirúrgicos. Foram instalados mais de 1500 implantes em apenas 1 ano, todos com muito capricho e com maior grau de perícia técnica por esse doutor que merece o nosso reconhecimento. Seja bem vindo ao nosso time @flaviosouzabmf
#drflaviosouza #flaviosouzaandrade
#asingularestaon #singularimplants #singular #implants #dentalimplants #dentistas #implantesdentarios #gmccomponentes #gmc #gmcimplantes #implantesconemorse #conemorse #hexagonoexterno #implanteshe #implantescm








